LEISTUNGEN

Umfassende Zahnärztliche Diagnostik

 

Entscheidend für die Auswahl der richtigen zahnärztlichen Therapie ist eine ausführliche und intensive Untersuchung ihres Kauorgans. Wir nehmen uns gerne sehr viel Zeit für die zahnärtzliche Kontrolluntersuchung, um Ihren individuellen Bedürfnissen gerecht werden zu können.

Dafür stehen in unserer Praxis für Sie umfangreiches zahnmedizinisches Fachwissen sowie eine Vielzahl technischer Geräte zur Verfügung.

Durch den Einsatz von Intraoralkameras, Digitalen Röntgenaufnahmen, 3D Diagnostik über DVT-Aufnahmen und zahlreiche weitere Maßnahmen sind wir bestrebt, bestehende Zahnkrankheiten aufzudecken, genau zu analysieren und die optimale Therapie dafür zu gestalten.

Photostatus Intraoralkamera

 

3D Röntgendiagnostik

 

Prophylaxe

 

Der Erhalt der eigenen gesunden Zähne sowie die optimale Pflege des vorhandenen Zahnersatzes stehen in unserer Praxis an erster Stelle. Durch die professionelle Zahnreinigung und Zuhilfenahme modernster Diagnosegeräte können wir Sie bei Ihrer Zahnpflege und dem Erhalt der Vitalität und Gesundheit Ihrer Zähne optimal unterstützen. Mit einer fachmännisch durchgeführten Prophylaxe können Karies und Parodontose effektiv verhindert und Ihre Zahngesundheit gestärkt werden. Gerne erstellen wir für Sie ein persönliches Vorbeugungsprogramm.

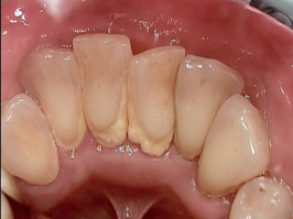
Zahnstein und Verfärbungen

 

nach Professioneller Zahnreinigung

 

Füllungstherapie

 

Sind bereits tiefere Zahndefekte vorhanden, hilft nur noch das Entfernen der kariösen Stellen. Die nach dem Bohren zurückbleibenden Löcher werden mit plastischen Füllmaterialien oder mit vorgefertigten Einlagen (Inlays) verschlossen. Mit der Anwendung moderner Materialien und Techniken möchten wir zum Erhalt Ihrer Zähne unseren Beitrag leisten. Dabei legen wir besonderen Wert auf stabile und optisch ansprechende Versorgungen.

Frontzahn mit Karies

 

Moderne Composite-Füllung

 

Endodontie (Wurzelkanalbehandlung)

 

Unter Endodontie versteht man den Erhalt sehr tief zerstörter kariöser oder entzündeter Zähne durch Reinigung und Abdichtung der inneren Zahnstruktur. Mit Hilfe von speziellen Präzisionsinstrumenten können wir optimale Behandlungsergebnisse erzielen. Durch das moderne Verfahren der dreidimensionalen Wurzelkanalbehandlung können nahezu alle schädlichen Bakterien aus dem Wurzelkanal entfernt und so in vielen Fällen der natürliche Zahn erhalten werden.

Endometrie

Maschinelle Wurzelkanalaufbereitung

Mit freundlicher Genehmigung der Firma DENTSPLY Maillefer

Parodontologie

 

Parodontitis entsteht dadurch, dass sich im Übergangsbereich von Zahn und Zahnfleisch Beläge bilden, welche unter anderem schädliche Bakterien enthalten. Diese dringen im Laufe der Zeit unter das Zahnfleisch vor und zerstören dort kontinuierlich den natürlichen Zahnhalteapparat. Zahnfleischbluten, empfindliche und lockere Zähne bis zum Zahnausfall sind die Folge. Da ein gesunder Zahnhalteapparat die Grund-voraussetzung für schmerzfreie und feste Zähne bis ins hohe Alter ist, bieten wir Ihnen sowohl schonende Vorsorgebehandlungen als auch zuverlässige Therapien gegen Parodontitis an.

Früherkennung

Therapie

 

Orale Chirurgie

 

In unserer Praxis werden zahlreiche operative Eingriffe im Bereich der Mundhöhle und des Kieferknochens angeboten. Dazu gehören die Entfernung von Weißheitszähnen, entzündeter Zahnwurzelspitzen, die Entfernung von Kieferzysten oder Operationen zur Verbesserung des Zahnhalteapparates sowie weitere ambulante Eingriffe im Bereich der Mundhöhle. Diese oralchirurgischen Eingriffe können bei örtlicher Betäubung schmerzfrei durchgeführt werden.

Piezo-Chirurgie

Mit freundlicher Genehmigung der Firma Acteon Germany GmbH

Knochenaufbau

Mit freundlicher Genehmigung der Firma Geistlich Pharma


Implantologie

 

Der Ersatz fehlender Zähne durch Einbringen künstlicher Zahnwurzeln ist in vielen Fällen die optimale Therapie zur Wiederherstellung verloren gegangener Kaufunktion und Ästhetik. Mit einem Zahnimplantat wird die Kaufunktion des Gebisses aufrechterhalten und ein Knochenabbau verhindert. Ein Zahnimplantat sieht aus und funktioniert wie ein eigener Zahn. Wir beraten Sie gerne und bieten Ihnen Lösungen nach dem neuesten wissenschaftlichen Erkenntnisstand für Ihr Anliegen.

Einzelzahnimplantat

 

Implantatgetragene Prothese

 

Prothetik (Zahnersatz)

 

Prothetik bedeutet Planung und Umsetzung von Zahnersatz. Lassen sich Zähne nicht mehr durch zahnerhaltende Maßnahmen stabilisieren, muss an eine Sanierung durch Kronen, Brücken, Zahnimplantate oder Zahnprothesen gedacht werden. In Zusammenarbeit mit unserem Meisterlabor möchten wir Ihnen optisch ansprechenden und qualitativ hochwertigen Ersatz aus Keramik, Kunststoff oder Edelmetall-Legierungen bieten. Jeder Zahnersatz, sei es für einzelne Zähne oder das gesamte Gebiss betreffend, wird persönlich auf Sie abgestimmt und passgenau angefertigt.

 

Bei Zahnersatz legen wir großen Wert auf Regionalität und Qualität. Wir sind sehr dankbar und freuen uns ganz besonders, regional ansässige und qualititiv denkende Zahntechnik-Betriebe gefunden zu haben, mit denen wir gemeinsam unsere Phisosophie umsetzen können.

Vollkeramik-Brücken

 

Vollkeramikkronen auf Implantat

 

Gnathologie (Funktionsstörung des Kiefergelenks)

 

Funktionsstörungen des Kiefergelenkes treten in verschiedenen Formen in Erscheinung. Das Beschwerdebild reicht von einfachen muskulären Verspannungen über Reibe- sowie Knackgeräuschen im Bereich des Kiefergelenks bis zu starken Schmerzen im gesamten Kopf-, Gesichts- und Halsbereich. Ist das Zusammenspiel der einzelnen Elemente des Kauorgans gestört, kann es zu diesen Problemen und Schmerzzuständen kommen. Wir bieten Ihnen professionelle Hilfe zur Beseitigung von diesen unangenehmen Kieferschmerzen.

Gesichtsbogen-Vermessung

Mit freundlicher Genehmigung der Firma Amann Girrbach

 

Schienentherapie

Mit freundlicher Genehmigung der Firma SCHEU-DENTAL GmbH

Ästhetische Zahnheilkunde

 

Schöne, weiße und gepflegte Zähne. Eine Traumvorstellung?
Zahnverfärbungen, die durch Auflagerung von Farbstoffen aus Nahrungsmitteln (von z.B. Kaffee, Tee, Rotwein) sowie durch das Rauchen oder durch die Einnahme von Medikamenten entstehen, können durch normales Zähneputzen nicht entfernt werden.

Hier helfen die verschiedenen Zahnreinigungen und Bleaching-Methoden, die hartnäckigen Verfärbungen schonend zu entfernen. Sie erhalten das natürliche Weiß Ihrer Zähne zurück – und damit ein Stück mehr Lebensqualität. Durch qualifizierte Behandlungsmaßnahmen und den Einsatz modernster Technik erzielen wir ein perfektes Reinigungsergebnis.

Legen Sie bei Füllungen oder bei benötigtem Zahnersatz Wert auf optisch ansprechende Versorgungen?

Durch die Auswahl spezieller Materialien können wir in vielen Fällen Reparaturen durchführen, die Ihren Zähnen ein natürliches Aussehen zurückgeben.

Verfärbter Frontzahn

 

Vollkeramikkrone + Politur

 

Kinderzahnheilkunde

 

Im Kindesalter werden die Voraussetzungen für den Erhalt der Zähne bis ins hohe Alter gelegt. Gerne betreuen wir Ihr Kind fürsorglich und fachkompetent von Anfang an, um ein möglichst naturgesundes Gebiss zu bewahren. Für den lebenslangen Erhalt der Zähne ist die Karies- und Parodontitisprophylaxe sehr wichtig. Wir nehmen uns hierfür gerne Zeit und bringen dies Ihrem Kind mit Einfühlungsvermögen nahe.

 

Bei großen Kariesschäden im frühkindlichen Alter oder bei extremer Angst von Kindern sind wir dankbar für die Zusammenarbeit mit speziellen Kinderzahnarztpraxen, die sich auf solche Situationen spezialisiert haben.

Kinderprophylaxe

 

Amalgamfreie Füllungen

 

Wir sind für Sie da!

 

Zahnarztpraxis
Dr. med. dent. Harald Remsch
Karlstr. 45
89129 Langenau

 

in Karte anzeigen

Tel. 07345 933230
Fax. 07345 933231


E-Mail:

termin@zahnarztpraxis-remsch.de

 

Terminanfragen können bevorzugt per E-Mail an uns gestellt werden.

Wir bearbeiten Ihre E-Mails persönlich zu den Praixsöffnungszeiten. E-Mails, die uns am Freitag erreichen, werden am darauf folgenden Montag bearbeitet. Bitte hinterlassen Sie auch Ihre Telefonnummer in Ihrer E-Mail-Anfrage.

 

Alternativ können Sie Termine

mit uns persönlich vor Ort vereinbaren. Bitte beachten Sie in diesem Fall die zur Verfügung stehenden Zeitfenster unter "Sprechzeiten".

 

Wir suchen Verstärkung für unser Prophylaxe-Team.

Bei Interesse nehmen wir Ihre Bewerbung gerne entgegen.

Druckversion | Sitemap
© Dr. med. dent. Harald Remsch 2017 / RS Design

Anrufen

E-Mail

Anfahrt